View

자연치아 살리기

불필요한 발치는 줄이고,
자연 치아의 수명과 기능을 지킵니다.

신경치료

감염된 신경을 제거하고 근관 소독·충전으로 통증을 줄여
자연치아를 지킵니다.

깊은 충치나 균열·외상, 심한 시림과 자발통, 잇몸 부위 고름 형성 등으로 치수(신경)가 손상되었을 때 시행합니다.
감염된 조직을 제거하고 근관을 확대·세척한 뒤, 재감염을 막기 위해 생체적합 재료로 밀폐 충전합니다.

신경치료의 세부 절차와 방문 횟수, 소요 기간은 치아 상태에 따라 달라집니다.
초기 진단 후 통증 관리와 마취 방법, 치료 간격, 최종 수복(크라운 등)에 대해 환자분의 상황에 맞춘 계획을 상세히 안내해 드립니다.
필요한 경우 보강 치료나 추가 검사 여부도 함께 상의하여 가장 안전하고 예측 가능한 방향으로 진행합니다.

FIRSTIN DENTAL CLINIC FIRSTIN DENTAL CLINIC

신경치료,
왜 필요할까요?

  • 01 감염된 치수를 제거해 자발통과 박동통을 빠르게 줄입니다.
  • 02 발치 대신 치근을 살려 치열과 저작 효율을 유지합니다.
  • 03 보강으로 파절 위험을 낮추고 모양·색을 개선합니다.
  • 04 근단 감염을 차단해 추가 치료 가능성을 줄입니다.

신경(근관) 진행과정

  • 01 초기 충치(법랑질 우식)

    통증은 거의 없지만, 미리 예방 처치를 진행하면 치아를 온전히 보존할 수 있습니다.

  • 02 진행 충치(상아질 우식)

    시림이나 자극 후 통증이 나타납니다. 빠른 치료가 필요합니다.

  • 03 신경 염증(치수염)

    충치가 치수에 도달해 자발통·야간통이 생기므로, 염증 치수를 제거하는 신경치료가 권장됩니다.

  • 04 치근단염

    신경이 괴사하면서 뿌리 끝에 염증과 고름이 형성되어 발치할 수 밖에 없는 상황으로 이어질 수 있습니다.

이런 분들에게
신경치료를 추천드립니다.

  • 01 온도 변화나 씹을 때 심한 통증(자발통·야간통 포함)이 반복되는 분

  • 02 깊은 충치로 신경 노출이 의심되거나 통증이 오래 지속되는 분

  • 03 잇몸 부위에 고름·부종·뾰루지(누공)가 생기고 묵직한 통증이 있는 분

  • 04 외상 후 치아 색이 변하거나(회색/갈색) 두드리면 아픈 분

  • 05 크랙(미세균열) 의심으로 씹을 때만 날카롭게 아픈 분

  • 06 이전 신경치료 후 통증 재발·재감염이 의심되어 재치료가 필요한 분

맞춤 계획으로 안전하게 진행되는
신경치료의 전 과정

  • STEP 01

    진단 및 영상검사

    X-ray(필요 시 3D CT)로 염증 범위와 근관 형태를 확인하고, 통증 원인을 정밀 평가합니다.

  • STEP 02

    감염 치수 제거

    손상된 신경(치수)을 제거하고 근관을 개방해 통증의 원인을 해소합니다.

  • STEP 03

    근관 성형·세척(소독)

    근관을 균형 있게 성형하고, 세척·소독으로 세균과 잔여 조직을 꼼꼼히 제거합니다.

  • STEP 04

    근관 충전

    소독된 근관을 생체적합 재료로 밀폐 충전해 재감염을 예방합니다.

  • STEP 05

    코어 보강 및 최종 수복

    필요한 경우 코어/포스트로 치아를 보강한 뒤, 크라운 등 최종 수복으로 기능을 회복합니다.

신경치료 주의사항

  • 마취가 풀릴 때까지 뜨거운 음식·딱딱한 음식은 피하세요.

    입술·볼을 물 수 있고 감각 저하로 화상을 입을 수 있습니다. 부드럽고 미지근한 식사가 안전합니다.

  • 치료 중에는 해당 치아로 씹지 않는 것이 좋습니다.

    임시 충전(또는 임시 크라운) 상태에서는 끈적한 음식·견과류 등으로 이탈·파절이 생길 수 있습니다.

  • 가벼운 통증·시림은 1–2주 내 호전되는 경우가 많습니다.

    통증이 지속되거나 씹을 때 높게 느껴지면 교합 조정이 필요할 수 있으니 연락/내원해 주세요.

  • 처방받은 약은 안내대로 복용하고 임의로 중단하지 마세요.

    진통제·항생제는 염증과 통증 조절에 중요합니다. 발진·구역 등 이상반응 시 즉시 상담하세요.

  • 최종 보강 전까지는 조심히 사용해 주세요.

    신경치료 치아는 깨지기 쉬워 보강이 필요합니다. 일정에 맞춰 내원하면 파절·재감염을 예방할 수 있습니다.

신경치료, 자주 묻는 질문을 모았습니다.

  • Q 신경치료는 무엇이며 언제 필요하나요?

    깊은 충치·균열·외상 등으로 신경(치수)에 염증·감염이 생겼을 때 시행하는 치료입니다.
    감염된 조직을 제거하고 근관을 소독·밀폐해 통증과 재감염을 예방합니다.
  • Q 치료 횟수와 소요 시간은 어떻게 되나요?

    치아 상태에 따라 1–3회 내원이 일반적이며, 한 번에 약 30–60분 정도가 소요될 수 있습니다.
    급성 통증·감염이 심한 경우에는 소독 기간을 더 두는 등 일정이 달라질 수 있습니다.
  • Q 치료 중·후 통증은 어떤가요? 정상 반응이 있나요?

    마취로 시술 중 통증은 최소화되며, 시술 후 며칠간 씹을 때 민감함·묵직함이 있을 수 있습니다.
    대부분 1–2주 내 호전되며, 통증이 지속되면 교합 조정이나 추가 처치가 필요할 수 있습니다.
  • Q 신경치료 후 크라운이 꼭 필요한가요?

    신경을 제거한 치아는 내부가 약해져 파절 위험이 높습니다.
    치질 소실이 크다면 코어(필요 시 포스트) 보강 후 크라운으로 전체를 감싸 주는 것이 권장됩니다.
    작은 손상이라면 레진·인레이/온레이 등으로도 마무리할 수 있어, 상태에 따라 개별 안내드립니다.

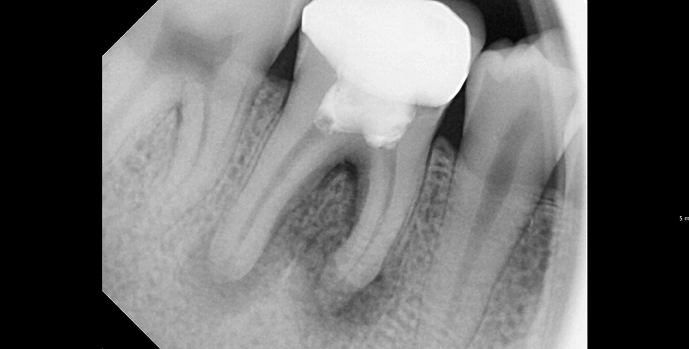
BEFORE & AFTER

  • 20대 남성 | 치근단병소 | 재신경치료 | 치료기간 4주

    Before 2025.04.30

    After 2025.05.29

모든 치료사례 전후사진은 환자분의 동의하에 촬영되었습니다.
모든사진은 동일 환자분의 전후모습을 촬영하였으며, 사진의 밝기조절 외에 임의 수정이 없음을 알려드립니다.
모든 치료는 부작용의 우려가 있기때문에 의사와의 충분한 상담후에 치료가 진행됩니다.

View More

퍼스트인치과만의 특별함

  • 통합 진단·보존 중심 계획

    3D CT, 치주 상태와 신경·교합 평가를 함께 확인해 자연치아를 최대한 보존하는 치료 방안을 우선합니다. 불필요한 발치·삭제를 줄이고 재치료 가능성을 낮춥니다.

  • 세심한 통증 관리·안정 마취

    단계적 마취, 저자극 술식, 필요 시 진정 옵션으로 치료 중 불편을 최소화합니다. 신경치료·치주치료·사랑니발치 등 난이도 높은 시술도 체계적인 통증 관리 프로토콜로 안전하게 진행합니다.

  • 감염 관리·사후 모니터링

    표준 멸균과 1인 1기구 원칙을 준수하고, 처방·세정·생활수칙 안내로 시술 후 합병증을 예방합니다. 정기 검진과 교합·위생 체크로 수복물 안정성, 치주 건강, 신경/발치 부위 회복을 지속 관리합니다.

  • 믿을 수 있는 의료진

    환자 맞춤 진단과 계획을 바탕으로 안전성을 최우선으로 진료하며, 진료 전·중·후 충분한 상담과 안내로 치료 과정의 부담을 줄여드립니다.

자연치아를 지키는 첫걸음,
퍼스트인치과에서 시작하세요.

    자연치아를 지키는 첫걸음,
    퍼스트인치과에서 시작하세요.

  • 오시는길

    경기도 파주시 와석순환로515번길 91, 404, 405호

    *스타필드빌리지 운정 맞은편에 위치해 있습니다.
  • 진료시간 안내

    • 월목

      09:30 - 20:30 (야간진료)
    • 화수금

      09:30 - 18:30
    • 토요일

      09:30 - 14:00
    • 점심시간

      13:00 - 14:00 (토요일 제외)
    *일 · 공휴일은 휴진입니다. 토요일은 점심시간 없이 진료합니다.
  • 상담 및 문의

개인정보처리방침

  • 제1조 (개인정보 수집에 대한 동의)

    퍼스트인치과는 이용자들이 회사의 개인정보취급방침 또는 이용약관의 내용에 대하여 “동의”버튼을 클릭하면 개인정보 수집에 대해 동의한 것으로 봅니다.

  • 제2조 (개인정보 수집항목)

    온라인 문의를 통한 상담을 위해 처리하는 개인정보 항목은 아래와 같습니다.
    수집항목: 이름, 전화번호, 이메일

  • 제3조 (개인정보의 이용목적)

    회사는 이용자의 사전 동의 없이는 이용자의 개인 정보를 공개하지 않으며, 원활한 고객상담, 각종 서비스의 제공을 위해 아래와 같이 개인정보를 수집하고 있습니다. 모든 정보는 상기 목적에 필요한 용도 이외로는 사용되지 않으며 수집 정보의 범위나 사용 목적, 용도가 변경될 시에는 반드시 사전 동의를 구할 것입니다.

    성명: 상담에 따른 본인 확인
    전화번호: 상담 및 이벤트 관련 고지사항 전달, 새로운 서비스 및 정보 제공(DM, SMS, 이메일 등 이용) 이용자는 개인정보의 수집/이용에 대한 동의를 거부할 수 있습니다.
    다만, 동의를 거부하는 경우 온라인 문의를 통한 상담은 불가하며 서비스 이용 및 혜택 제공에 제한을 받을 수 있습니다.

  • 제4조 (개인정보의 보유 및 이용기간)

    원칙적으로 개인정보 수집 및 이용목적이 달성된 후에는 해당 정보를 지체 없이 파기합니다. 그리고 상법, 전자상거래 등에서의 소비자보호에 관한 법률 등 관계법령의 규정에 의하여 보존할 필요가 있는 경우 회사는 관계법령에서 정한 일정한 기간 동안 정보를 보관합니다. 이 경우 회사는 보관하는 정보를 그 보관의 목적으로만 이용하며 보존기간은 아래와 같습니다.

    계약 또는 청약철회 등에 관한 기록: 5년(전자상거래등에서의 소비자보호에 관한 법률) 소비자의 불만 또는 분쟁처리에 관한 기록: 3년(전자상거래등에서의 소비자 보호에 관한 법률) 시용정보의 수집/처리 및 이용 등에 관한 기록: 3년(신용정보의 이용 및 보호에 관한 법률) 회사는 귀중한 이용자의 개인정보를 안전하게 처리하며, 유출의 방지를 위하여 다음과 같은 방법을 통하여 개인정보를 파기합니다. 종이에 출력된 개인정보는 분쇄기로 분쇄하거나 소각을 통하여 파기합니다. 전자적 파일 형태로 저장된 개인정보는 기록을 재생할 수 없는 기술적 방법을 사용하여 삭제합니다.