View

디지털 진료시스템

첨단 디지털 장비 기술로
더 정확하고 안전한 치료를 제공합니다.

디지털 3D 보철진료

구강스캐너 데이터를 통합해 정밀하게 설계하고,
맞춤 보철을 제작하여 적합도와 교합의 완성도를 높입니다.

구강스캐너(디지털 인상)로 입안 환경을 디지털화해 치아의 형태, 잇몸, 교합관계를 정밀 분석한 뒤
전용 소프트웨어로 보철의 형태와 접촉, 교합을 사전에 시뮬레이션합니다.

크라운·브리지·인레이/온레이 등을 정확히 가공하여
적합도와 심미성을 높이고, 내원 횟수와 체어타임을 줄여 예측 가능한 치료를 제공합니다.

디지털 보철이란?

디지털 보철은 구강 스캐너, CAD/CAM 시스템, 3D 프린팅 등 최신 디지털 기술을 활용하여
크라운, 브릿지, 임플란트 보철물을 제작하는 첨단 치료 방법입니다.

전통적인 인상채득(본뜨기) 방식을 대체하여 더욱 정확하고 편안하며 빠른 치료가 가능합니다.

FIRSTIN DENTAL CLINIC FIRSTIN DENTAL CLINIC

디지털3D 보철진료
시스템의 장점

  • 정확성 향상

    디지털 스캔으로 오차 범위 최소화 및 완벽한 맞춤 제작

  • 편안한 치료

    불편한 인상채득 없이 간편한 스캔으로 대체

  • 빠른 제작

    제작 시간 단축으로 내원 횟수 감소

  • 시각적 확인

    치료 전 3D 시뮬레이션으로 결과 미리 확인

  • 높은 품질

    우수한 재료와 정밀 가공으로 내구성 향상

  • 데이터 보관

    디지털 데이터 영구 보관으로 추후 수정 용이

디지털3D 보철진료의 시술과정

  • 구강 스캔

    STEP 01 구강 스캔

    3D 구강 스캐너로 정밀 촬영

  • 디지털 설계

    STEP 02 디지털 설계

    CAD 프로그램으로 맞춤 설계

  • 보철물 제작

    STEP 03 보철물 제작

    CAM/밀링 장비로 정밀 가공

  • 장착 및 완성

    STEP 04 장착 및 완성

    미세 조정 후 최종 장착

아날로그 인상채득 VS 디지털 인상채득

디지털 3D 보철 종류

환자분의 치아 상태에 맞는 수복치료가 필요합니다.

  • 라미네이트

    앞니 표면을 보존적으로 다듬어 얇은 보철로 색·형태·틈(공간)을 개선합니다.
    변색·모서리 파절·가벼운 배열 보정에 적합합니다.

    ※ 교합력이 큰 경우 보호장치 등 추가 관리가 도움이 됩니다.
  • 지르코니아 크라운

    치아 전체를 감싸는 형태의 보철로, 결손이 크거나 파절·변색이 심한 경우
    형태와 기능·심미를 함께 회복합니다. 상태에 따라 신경치료가 동반될 수 있습니다.

    ※ 삭제 범위·치아 상태에 따라 치료 단계가 달라질 수 있습니다.
  • 세라믹 인레이

    충치나 파절로 손실된 부분만 정밀 보철로 메워 형태와 씹는 기능을 복원합니다.

    ※ 장착 후 1–2주 내 적응 확인 및 교합 점검을 권장합니다.

심미보철 주의사항

  • 장착 당일은 딱딱한 음식·끈적한 음식은 피하세요.

    접착 직후에는 부드럽고 미지근한 식사가 안전합니다.

  • 치실은 옆으로 빼고, 브리지는 보조 치실을 사용하세요.

    위로 당기면 이탈 위험이 커집니다. 하단 실끼움형 치실로 하부 위생을 관리하세요.

  • 시림·이물감은 1–2주 내 적응되는 경우가 많습니다.

    불편이 지속되면 교합(물림) 미세 조정이 필요할 수 있으니 내원해 주세요.

  • 임시 보철 사용 중 탈락 시 임의 접착은 금지입니다.

    깨끗이 보관해 내원해 주시면 안전하게 재부착해 드립니다.

디지털3D 보철진료, 자주 묻는 질문을 모았습니다.

  • Q 디지털3D 보철진료는 무엇이며 왜 정확한가요?

    구강스캐너와 3D CT 데이터를 통합해 치아·치은·교합을 정밀 분석하고,
    전용 소프트웨어로 형태·접촉점·교합을 시뮬레이션합니다.
    보철을 정밀 가공하여 적합도와 예측 가능성을 높입니다.
  • Q 누구에게 특히 추천되나요?

    크라운·브리지·임플란트 상부 보철의 적합도와 교합이 중요한 분,
    앞니 심미·색조 일치를 섬세하게 맞추고 싶은 분,
    구역반사가 있어 인상 채득이 어려운 분, 내원 횟수·체어타임을 줄이고 싶은 분께 적합합니다.
  • Q 시림이나 이물감은 어느 정도인가요? 적응은 빠른가요?

    장착 초기에는 시림·이물감이 있을 수 있으나 대개 1–2주 내 적응됩니다.
    증상이 지속되면 교합 미세조정으로 개선 가능하니 안내에 따라 내원해 주세요.
  • Q 비용과 소요 기간은 어떻게 되나요?

    디지털 스캔·설계·가공이 포함되어 증례와 소재에 따라 비용이 달라질 수 있습니다.
    보통 스캔·설계 1회 내원 후, 가공 2–7일 소요·시적/장착 1회 내원으로 진행되며
    복잡한 심미 보철은 추가 시적이 필요할 수 있습니다.

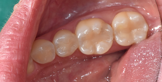
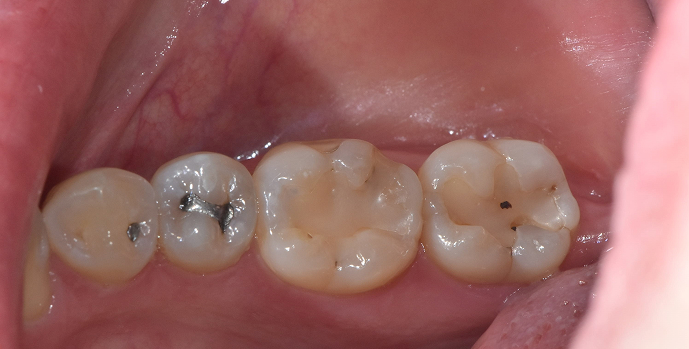
BEFORE & AFTER

  • 30대 여성 | #35, #37 이차우식 | 세라믹 인레이 | 1주

    Before 2025.03.21

    After 2025.03.28

  • 60대 남성 | 교모 | 지르코니아 크라운 | 3개월

    Before 2024.06.25

    After 2024.10.18

모든 치료사례 전후사진은 환자분의 동의하에 촬영되었습니다.
모든사진은 동일 환자분의 전후모습을 촬영하였으며, 사진의 밝기조절 외에 임의 수정이 없음을 알려드립니다.
모든 치료는 부작용의 우려가 있기때문에 의사와의 충분한 상담후에 치료가 진행됩니다.

View More

퍼스트인치과만의 특별함

  • 통합 디지털 진단·계획

    3D CT와 구강 스캐너 데이터를 통합해 구조를 정밀 분석하고, 보철을 고려한 역설계로 치료 위치·각도·깊이를 체계적으로 계획합니다.

  • 정밀 가이드·보철 제작

    디지털 워크플로우로 수술 가이드와 보철을 CAD/CAM 방식으로 제작해 계획값 재현성과 적합도를 높이고, 재작업 가능성을 줄입니다.

  • 효율적인 치료·빠른 회복

    디지털 진단으로 불필요한 절차를 줄여 내원 횟수와 체어타임을 절감하고, 최소 침습 원칙으로 시술 부담을 덜어 일상 복귀를 돕습니다.

  • 믿을 수 있는 의료진

    환자 맞춤 진단과 계획을 바탕으로 안전성을 최우선으로 진료하며, 진료 전·중·후 충분한 상담과 안내로 치료 과정의 부담을 줄여드립니다.

자연치아를 지키는 첫걸음,
퍼스트인치과에서 시작하세요.

    자연치아를 지키는 첫걸음,
    퍼스트인치과에서 시작하세요.

  • 오시는길

    경기도 파주시 와석순환로515번길 91, 404, 405호

    *스타필드빌리지 운정 맞은편에 위치해 있습니다.
  • 진료시간 안내

    • 월목

      09:30 - 20:30 (야간진료)
    • 화수금

      09:30 - 18:30
    • 토요일

      09:30 - 14:00
    • 점심시간

      13:00 - 14:00 (토요일 제외)
    *일 · 공휴일은 휴진입니다. 토요일은 점심시간 없이 진료합니다.
  • 상담 및 문의

개인정보처리방침

  • 제1조 (개인정보 수집에 대한 동의)

    퍼스트인치과는 이용자들이 회사의 개인정보취급방침 또는 이용약관의 내용에 대하여 “동의”버튼을 클릭하면 개인정보 수집에 대해 동의한 것으로 봅니다.

  • 제2조 (개인정보 수집항목)

    온라인 문의를 통한 상담을 위해 처리하는 개인정보 항목은 아래와 같습니다.
    수집항목: 이름, 전화번호, 이메일

  • 제3조 (개인정보의 이용목적)

    회사는 이용자의 사전 동의 없이는 이용자의 개인 정보를 공개하지 않으며, 원활한 고객상담, 각종 서비스의 제공을 위해 아래와 같이 개인정보를 수집하고 있습니다. 모든 정보는 상기 목적에 필요한 용도 이외로는 사용되지 않으며 수집 정보의 범위나 사용 목적, 용도가 변경될 시에는 반드시 사전 동의를 구할 것입니다.

    성명: 상담에 따른 본인 확인
    전화번호: 상담 및 이벤트 관련 고지사항 전달, 새로운 서비스 및 정보 제공(DM, SMS, 이메일 등 이용) 이용자는 개인정보의 수집/이용에 대한 동의를 거부할 수 있습니다.
    다만, 동의를 거부하는 경우 온라인 문의를 통한 상담은 불가하며 서비스 이용 및 혜택 제공에 제한을 받을 수 있습니다.

  • 제4조 (개인정보의 보유 및 이용기간)

    원칙적으로 개인정보 수집 및 이용목적이 달성된 후에는 해당 정보를 지체 없이 파기합니다. 그리고 상법, 전자상거래 등에서의 소비자보호에 관한 법률 등 관계법령의 규정에 의하여 보존할 필요가 있는 경우 회사는 관계법령에서 정한 일정한 기간 동안 정보를 보관합니다. 이 경우 회사는 보관하는 정보를 그 보관의 목적으로만 이용하며 보존기간은 아래와 같습니다.

    계약 또는 청약철회 등에 관한 기록: 5년(전자상거래등에서의 소비자보호에 관한 법률) 소비자의 불만 또는 분쟁처리에 관한 기록: 3년(전자상거래등에서의 소비자 보호에 관한 법률) 시용정보의 수집/처리 및 이용 등에 관한 기록: 3년(신용정보의 이용 및 보호에 관한 법률) 회사는 귀중한 이용자의 개인정보를 안전하게 처리하며, 유출의 방지를 위하여 다음과 같은 방법을 통하여 개인정보를 파기합니다. 종이에 출력된 개인정보는 분쇄기로 분쇄하거나 소각을 통하여 파기합니다. 전자적 파일 형태로 저장된 개인정보는 기록을 재생할 수 없는 기술적 방법을 사용하여 삭제합니다.