View

디지털 진료시스템

첨단 디지털 장비 기술로
더 정확하고 안전한 치료를 제공합니다.

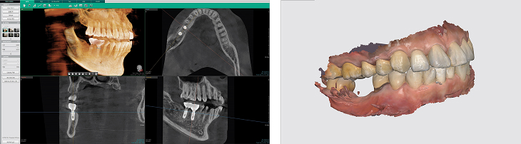
디지털 3D 임플란트

디지털 3D 임플란트는 최신 디지털 기술을 활용하여
임플란트 치료의 정확성안전성을 극대화한 첨단 치료 방법입니다.

임플란트 시술 전 구강 스캐너로 채득한 구강스캔 데이터와 3D CT 영상을 이용해
치아, 잇몸, 신경, 혈관의 위치를 3차원으로 정밀하게 분석하여 안전한 식립 위치를 미리 파악합니다.
컴퓨터 디지털 시뮬레이션으로 임플란트 수술시 최적의 식립 위치, 각도, 깊이를 사전에 계획합니다.

시뮬레이션 결과를 바탕으로 제작된 네비게이션 수술 가이드를 이용하여 계획된 위치에 정확하게 임플란트를 식립합니다.
보철물 제작시에도 구강스캐너로 정밀하게 인상을 채득해 정확한 보철물을 만들게 됩니다.

퍼스트인치과의 디지털 3D 임플란트
이런 점이 다릅니다

  • 플라즈마 표면처리 임플란트

    플라즈마 표면처리 임플란트

    임플란트를 잇몸뼈에 식립하기 직전에 진공 플라즈마 처리를 하게 되면
    임플란트 표면에 남아있던 유기물과 불순물이 제거되고,
    소수성 표면이 친수성으로 전환되어
    더 많은 혈액과 세포가 임플란트 표면에 달라붙어 골유착 효과가 향상됩니다.

    이처럼 플라즈마 표면처리는 빠른 골재생효과, 임플란트와 치조골 사이의 강한 골유착,
    짧은 회복기간의 장점을 얻을 수 있습니다.

  • 네비게이션 가이드 수술

    네비게이션 가이드 수술

    컴퓨터 시뮬레이션을 통해 임플란트 식립 위치를 미리 계획하고, 맞춤 제작된 수술 가이드를 이용하여 정밀하게 임플란트를 식립하는 첨단 디지털 3D 임플란트 시스템입니다.

    한 개의 임플란트를 식립하더라도 네비게이션 가이드 수술로 진행합니다.

  • 세포재생을 촉진시키는 PDRN 연어주사

    세포재생을 촉진시키는 PDRN 연어주사

    PDRN(Polydeoxyribonucleotide)은 연어에서 추출한 DNA 조각으로, 손상된 조직의 재생을 촉진하고 혈관 생성을 돕는 성분입니다. 치과에서는 임플란트 수술 후 회복, 잇몸 염증 치료, 발치 후 상처 치유 등에 활용되어 빠르고 건강한 회복을 돕습니다.

  • 하이니스 임플란트 보철 시스템

    하이니스 임플란트 보철 시스템

    하이니스 시스템은 시멘트(접착제) 없이 나사로만 보철물을
    고정하는 차세대 임플란트 보철 시스템입니다.
    시멘트를 사용하지 않기 때문에 시멘트 잔여물로 인한 잇몸 염증 위험이 없으며,
    필요시 보철물을 쉽게 분리할 수 있어 유지관리가 용이한 장점이 있습니다.

  • 잇몸뼈 손실을 최대한 줄여주는 급속 골이식(i-GBR)

    잇몸뼈 손실을 최대한 줄여주는 급속 골이식(i-GBR)

    치아를 발치하는 순간 부터 잇몸뼈는 빠른 속도로 흡수됩니다.
    발치 후 잇몸뼈는 자연적인 흡수가 일어나게 되는데, 이런 변화의 대부분은 발치 후 3개월 내에 발생하게 되며, 발치 1년 경과 시 원래 잇몸뼈 폭의 절반이 흡수됩니다.

    급속골이식(i-GBR)은 심한 잇몸뼈 소실로 임플란트를 심기 어려운 경우에 골이식재와 특수 차폐막을 이식하여 임플란트를 심기에 좋은 뼈를 만들면서, 동식에 각화치은도 매우 두껍게 생성하는 술식입니다.

네비게이션 가이드 수술

임플란트 시술 전 구강스캔데이터와 3차원 CT영상을 이용해 입 안의 입체적 환경을 재현해 치아와 잇몸뼈, 신경의 위치까지 분석하여
임플란트가 들어갈 최적의 위치를 찾아 임플란트 치근을 정확하게 심습니다.
수술 전 미리 컴퓨터로 3D 분석 후 임플란트 시술에 들어가기 때문에 시술시간이 짧고, 수술 성공률이 높습니다.

FIRSTIN DENTAL CLINIC FIRSTIN DENTAL CLINIC

네비게이션 가이드
수술의 장점

  • POINT 01.

    높은 정확도

    진단부터 치료까지 디지털 프로세스로 빠르고 편안한 진료!

  • POINT 02.

    안전성 향상

    신경과 혈관 손상 위험을 최소화하여 안전한 수술이 가능합니다.

  • POINT 03.

    수술 시간 단축

    정확한 사전 계획으로 수술 시간이 단축되어 환자분의 부담이 줄어듭니다.

  • POINT 04.

    빠른 회복

    최소 절개로 수술이 진행되어 출혈과 붓기가 적고 회복이 빠릅니다.

  • POINT 05.

    예측 가능한 결과

    수술 전 결과를 미리 확인할 수 있어 환자분도 안심하고 치료받으실 수 있습니다.

이런 분들에게
네비게이션 임플란트를 추천드립니다.

  • 01 임플란트 수술이 처음인 분

  • 02뼈 양이 부족하거나 복잡한 구강 구조를 가진 분

  • 03전신질환이 있어 출혈이나 회복이 걱정되는 분

  • 04기존 임플란트 실패나 재수술이 필요한 분

  • 05심미적 결과(앞니 등)가 중요한 분

  • 06짧은 회복 기간을 원하는 직장인·고령자

정밀한 분석과 계획으로 이루어지는
네비게이션 임플란트의 전 과정

  • STEP 01 3D-CT 정밀진단

    3차원 데이터를 바탕으로 환자분의 뼈, 잇몸, 신경 등을 종합적으로 고려하여 정밀진단을 실시합니다.

  • STEP 02 컴퓨터 가상수술

    정밀진단 데이터를 바탕으로 가상시뮬레이션을 통해 최적의 임플란트 식립위치, 각도, 깊이 등을 계획합니다.

  • STEP 03 개별맞춤형 수술가이드 제작

    가상수술을 계획한대로 한치의 오차없이 수술할 수 있도록 개별맞춤 수술가이드를 제작합니다.

  • STEP 04 최종수술

    맞춤 가이드를 구강에 장착한 뒤 계획한 위치에 정확하게 임플란트를 식립합니다.

네비게이션 임플란트, 자주 묻는 질문을 모았습니다.

  • Q 네비게이션 임플란트는 무엇이며 왜 정확한가요?

    구강 구조를 정밀 분석한 뒤 디지털로 식립 위치·각도·깊이를 계획하고,
    맞춤 수술 가이드를 사용해 계획대로 식립합니다.
    그래서 절개 범위가 줄고 결과 예측성이 높습니다.
  • Q 누구에게 특히 추천되나요? 전신질환이 있어도 가능한가요?

    뼈 형태가 복잡한 경우, 앞니처럼 심미가 중요한 경우, 재수술이 필요한 경우, 빠른 회복을 원하는 분께 적합합니다.
    고혈압·당뇨 등 전신질환이 있는 분도 상태가 잘 조절되고 사전 평가가 충분하면 가능합니다(담당의와 협의 필수).
  • Q 통증과 회복은 어떤가요?

    절개와 박리를 최소화해 부기·통증·출혈이 상대적으로 적습니다.
    보통 다음 날 가벼운 일상 복귀가 가능하나 개인차가 있으며,
    안내된 복약·관리 수칙을 지키면 회복이 더 빠릅니다.
  • Q 비용과 소요 시간은 어떻게 되나요?

    디지털 진단과 가이드 제작이 포함되어 일반 임플란트보다 비용이 증가할 수 있습니다.
    보통 진단·계획 1–2회 방문, 가이드 제작 3–7일, 식립은 케이스에 따라 30–60분/치아 정도가 소요되며 최종 보철은 치유 후 진행됩니다.

BEFORE & AFTER

  • 70대 남성 | 치주염 | 임플란트 | 치료기간 4개월

    Before 2024.12.06

    After 2025.04.11

  • 80대 여성 | 틀니불편 | 임플란트, 상악동거상술 | 치료기간 7개월

    Before 2024.08.06

    After 2025.03.20

모든 치료사례 전후사진은 환자분의 동의하에 촬영되었습니다.
모든사진은 동일 환자분의 전후모습을 촬영하였으며, 사진의 밝기조절 외에 임의 수정이 없음을 알려드립니다.
모든 치료는 부작용의 우려가 있기때문에 의사와의 충분한 상담후에 치료가 진행됩니다.

View More

퍼스트인치과만의 특별함

  • 통합 디지털 진단·계획

    3D CT와 구강 스캐너 데이터를 통합해 구조를 정밀 분석하고, 보철을 고려한 역설계로 치료 위치·각도·깊이를 체계적으로 계획합니다.

  • 정밀 가이드·보철 제작

    디지털 워크플로우로 수술 가이드와 보철을 제작해 계획값 재현성과 적합도를 높이고, 재작업 가능성을 줄입니다.

  • 효율적인 치료·빠른 회복

    디지털 진단으로 불필요한 절차를 줄여 내원 횟수와 체어타임을 절감하고, 최소 침습 원칙으로 시술 부담을 덜어 일상 복귀를 돕습니다.

  • 믿을 수 있는 의료진

    환자 맞춤 진단과 계획을 바탕으로 안전성을 최우선으로 진료하며, 진료 전·중·후 충분한 상담과 안내로 치료 과정의 부담을 줄여드립니다.

하이니스 임플란트 보철 시스템

하이니스 임플란트 보철 시스템은 기존의 시멘트 접착 방식 대신 나사로 보철물을 직접 고정하는 방식입니다.
시멘트 잔여물로 인한 잇몸 염증 위험이 없으며, 필요시 보철물을 쉽게 분리할 수 있어 유지관리가 용이한 차세대 임플란트 보철 시스템입니다.

임플란트 뿌리와 보철물을 연결해주는 하이니스 지대주는 특수한 구조로 되어있어 치아가 내려앉거나 흔들리는 것을 예방할 수 있으며,
지대주 연결이 한 번에 끝나게 되어 잇몸 자극이 적고 통증과 합병증의 발생률이 낮습니다.

FIRSTIN DENTAL CLINIC FIRSTIN DENTAL CLINIC

이런 분들에게
하이니스 임플란트 보철 시스템를 추천드립니다.

  • 01 잇몸 건강을 최우선으로 생각하시는 경우

  • 02 장기적인 관리와 유지보수를 고려하시는 경우

  • 03 시멘트 잔여물로 인한 염증이 우려되는 경우

  • 04 임플란트주위염 예방을 원하시는 경우

일반 임플란트와 하이니스 임플란트의 차이

구분 일반 임플란트 하이니스 임플란트
스크류 안정성 Screw 풀림 및 파절 가능성이 있음 Screw 풀림 및 파절 가능성이 매우 낮음
Sink Down Sink Down 발생 가능성 있음 Sink Down 발생 가능성 없음
교합력 분산 임플란트 상부 보철물 결합부에 교합력 집중 우수한 교합력 분산으로 보철 합병증 발생 감소
시멘트 사용 Cement로 인한 임플란트 주위염 발생 가능 Cement 사용하지 않아 잔존 Cement로 인한 부작용과 합병증이 없음

하이니스 임플란트 보철시스템, 자주 묻는 질문을 모았습니다.

  • Q 하이니스 임플란트 보철시스템은 무엇이며, 일반 임플란트 보철과 무엇이 다른가요?

    하이니스 임플란트 보철시스템은 디지털 설계와 나사고정 방식을 기반으로 한 맞춤 보철 시스템입니다.
    교합력 분산과 유지·관리를 고려해 디자인되며,
    Cement 사용을 최소화하여 잔존 시멘트로 인한 부작용과 합병증의 위험을 줄이는 데 도움을 줄 수 있습니다.
  • Q 어떤 분들께 특히 적합한가요? 기존 임플란트에도 적용이 가능한가요?

    스크류 풀림이나 보철물 파절이 걱정되는 분, 장기간 안정적인 사용과 관리가 중요한 분,
    교합이 복잡하거나 여러 개의 임플란트를 동시에 보철해야 하는 경우에 특히 도움이 될 수 있습니다.
    기존에 식립된 임플란트라도 상태와 구조가 적합하다면, 평가 후 하이니스 보철 시스템으로
    재보철을 고려할 수 있으며, 이는 반드시 담당의와의 정확한 진단과 상담이 필요합니다.
  • Q 내구성과 유지 관리는 어떤가요?

    교합력 분산과 나사 결합 구조를 고려해 설계되어 장기적인 사용을 목표로 합니다.
    나사고정 방식이기 때문에 문제가 생겼을 때 보철물을 분리하여 점검·수리가 가능해
    잇몸을 다시 크게 절개하지 않고도 비교적 편하게 유지·관리가 가능합니다.
    다만 수명은 개인의 구강 상태, 위생관리, 정기검진 여부에 따라 달라질 수 있습니다.
  • Q 치료 과정과 소요 시간은 어떻게 되나요?

    먼저 구강 상태와 임플란트 위치를 정밀하게 진단한 뒤 보철 방향과 교합을 계획합니다.
    이후 구강 스캔 또는 인상을 채득하고, 이를 바탕으로 맞춤 하이니스 보철물을 제작합니다.
    보통 진단·계획과 인상 채득에 1–2회 내원, 보철 제작 기간을 거쳐 장착 및 교합 조정을 진행하며,
    정확한 내원 횟수와 기간은 치아 개수, 잇몸 상태, 기존 임플란트 유무에 따라 달라질 수 있습니다.

퍼스트인치과만의 특별함

  • 통합 디지털 진단·계획

    3D CT와 구강 스캐너 데이터를 통합해 구조를 정밀 분석하고, 보철을 고려한 역설계로 치료 위치·각도·깊이를 체계적으로 계획합니다.

  • 정밀 가이드·보철 제작

    디지털 워크플로우로 수술 가이드와 보철을 제작해 계획값 재현성과 적합도를 높이고, 재작업 가능성을 줄입니다.

  • 효율적인 치료·빠른 회복

    디지털 진단으로 불필요한 절차를 줄여 내원 횟수와 체어타임을 절감하고, 최소 침습 원칙으로 시술 부담을 덜어 일상 복귀를 돕습니다.

  • 믿을 수 있는 의료진

    환자 맞춤 진단과 계획을 바탕으로 안전성을 최우선으로 진료하며, 진료 전·중·후 충분한 상담과 안내로 치료 과정의 부담을 줄여드립니다.

자연치아를 지키는 첫걸음,
퍼스트인치과에서 시작하세요.

    자연치아를 지키는 첫걸음,
    퍼스트인치과에서 시작하세요.

  • 오시는길

    경기도 파주시 와석순환로515번길 91, 404, 405호

    *스타필드빌리지 운정 맞은편에 위치해 있습니다.
  • 진료시간 안내

    • 월목

      09:30 - 20:30 (야간진료)
    • 화수금

      09:30 - 18:30
    • 토요일

      09:30 - 14:00
    • 점심시간

      13:00 - 14:00 (토요일 제외)
    *일 · 공휴일은 휴진입니다. 토요일은 점심시간 없이 진료합니다.
  • 상담 및 문의

개인정보처리방침

  • 제1조 (개인정보 수집에 대한 동의)

    퍼스트인치과는 이용자들이 회사의 개인정보취급방침 또는 이용약관의 내용에 대하여 “동의”버튼을 클릭하면 개인정보 수집에 대해 동의한 것으로 봅니다.

  • 제2조 (개인정보 수집항목)

    온라인 문의를 통한 상담을 위해 처리하는 개인정보 항목은 아래와 같습니다.
    수집항목: 이름, 전화번호, 이메일

  • 제3조 (개인정보의 이용목적)

    회사는 이용자의 사전 동의 없이는 이용자의 개인 정보를 공개하지 않으며, 원활한 고객상담, 각종 서비스의 제공을 위해 아래와 같이 개인정보를 수집하고 있습니다. 모든 정보는 상기 목적에 필요한 용도 이외로는 사용되지 않으며 수집 정보의 범위나 사용 목적, 용도가 변경될 시에는 반드시 사전 동의를 구할 것입니다.

    성명: 상담에 따른 본인 확인
    전화번호: 상담 및 이벤트 관련 고지사항 전달, 새로운 서비스 및 정보 제공(DM, SMS, 이메일 등 이용) 이용자는 개인정보의 수집/이용에 대한 동의를 거부할 수 있습니다.
    다만, 동의를 거부하는 경우 온라인 문의를 통한 상담은 불가하며 서비스 이용 및 혜택 제공에 제한을 받을 수 있습니다.

  • 제4조 (개인정보의 보유 및 이용기간)

    원칙적으로 개인정보 수집 및 이용목적이 달성된 후에는 해당 정보를 지체 없이 파기합니다. 그리고 상법, 전자상거래 등에서의 소비자보호에 관한 법률 등 관계법령의 규정에 의하여 보존할 필요가 있는 경우 회사는 관계법령에서 정한 일정한 기간 동안 정보를 보관합니다. 이 경우 회사는 보관하는 정보를 그 보관의 목적으로만 이용하며 보존기간은 아래와 같습니다.

    계약 또는 청약철회 등에 관한 기록: 5년(전자상거래등에서의 소비자보호에 관한 법률) 소비자의 불만 또는 분쟁처리에 관한 기록: 3년(전자상거래등에서의 소비자 보호에 관한 법률) 시용정보의 수집/처리 및 이용 등에 관한 기록: 3년(신용정보의 이용 및 보호에 관한 법률) 회사는 귀중한 이용자의 개인정보를 안전하게 처리하며, 유출의 방지를 위하여 다음과 같은 방법을 통하여 개인정보를 파기합니다. 종이에 출력된 개인정보는 분쇄기로 분쇄하거나 소각을 통하여 파기합니다. 전자적 파일 형태로 저장된 개인정보는 기록을 재생할 수 없는 기술적 방법을 사용하여 삭제합니다.