View

First

당신의 안심치과, 퍼스트인치과

FIRST IN DENTAL CLINIC

  • 치과, 불안한 공간이 아닌
    믿을 수 있는 공간이어야 합니다

    퍼스트인치과는 환자의 이야기를 먼저 듣습니다.
    자연을 닮은 미소와 건강한 치아, 그 시작은 정직한 진료입니다.

  • 내 치아만큼 좋은 것은 없습니다.

    아무리 뛰어난 보철물이나 임플란트도 자연 치아를 따라갈 수 없습니다.
    가능한 한 치아를 보존하고, 치료가 필요한 경우 비침습적 치료방법을 우선시 해
    최대한 자연치아를 살려 쓰는 것을 원칙으로 하고 있습니다.

  • 편안하게 오래 쓸 수 있도록 치료합니다.

    당장의 편의보다 장기간의 예후를 보장할 수 있는 진료를 추구합니다.
    보이지 않는 부분까지도 세심하고 꼼꼼하게 치료합니다.
    치료기간 동안 의사가 바뀌지 않고, 치료 결과에 대해 끝까지 책임집니다.

퍼스트인치과만의 특별함

환자를 먼저 생각하는 실력 있고 정직한 치과

View More
  • Honesty

    환자중심,
    정직한 진료

    환자의 목소리를 경청하며, 과잉 진료 없이 꼭 필요한 치료만 권해드립니다.

  • Communication

    충분한
    설명과 소통

    환자분이 이해하고 궁금증이 해소되도록 충분한 시간을 들여 설명하고, 소통합니다.

  • Natural Teeth

    자연치아
    보존

    가능한 한 자연 치아를 오래 보존할 수 있도록 최소 침습 치료를 우선합니다.

  • Innovation

    끊임없는
    연구와 노력

    최신 임상 연구와 장비 도입을 통해 진료의 완성도를 꾸준히 높여갑니다.

  • Support

    책임을 다하는
    진료

    치료계획부터 사후관리까지 저희가 한 치료에 대해 끝까지 책임집니다.

퍼스트인 의료진

정직하고 실력 있는
치아 전문가들이 만든 건강한 치과

View More

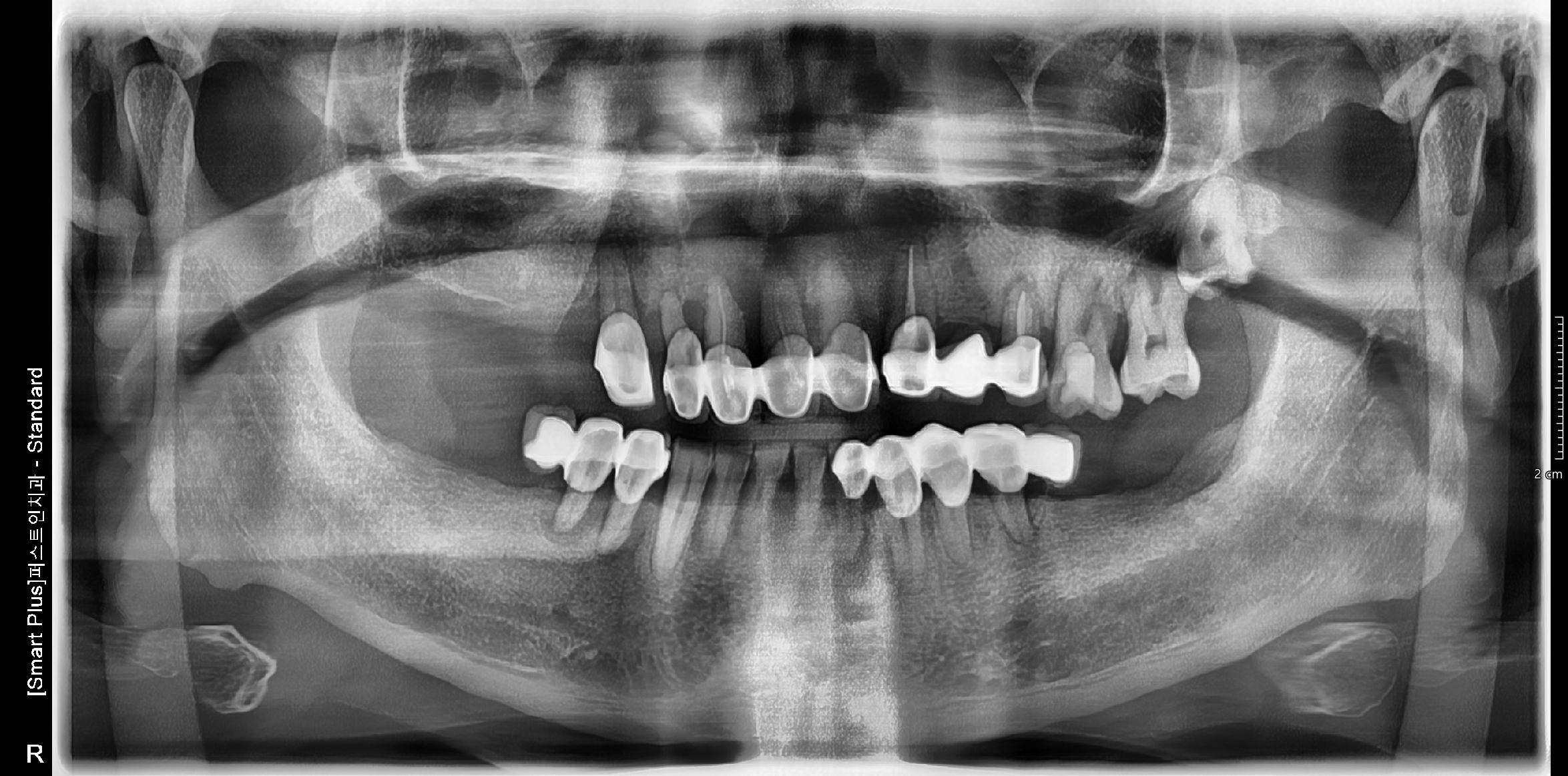
BEFORE & AFTER

정성이 담긴 치료가 완성도를 높입니다.

  • 60대 남성 | 치주염 | 임플란트 | 치료기간 4개월

    • Before

      2023.07.10
    • After

      2023.11.30
    블로그 바로가기
  • 60대 여성 | 치아결손 | 임플란트, 상악동거상술 | 치료기간 4개월

    • Before

      2025.04.22
    • After

      2025.09.08
    블로그 바로가기
  • 70대 남성 | 치주염 | 임플란트 | 치료기간 4개월

    • Before

      2024.12.06
    • After

      2025.04.11
    블로그 바로가기
  • 40대 여성 | 치주염 | 임플란트, 상악동거상술 | 치료기간 5개월

    • Before

      2025.05.12
    • After

      2025.10.28
    블로그 바로가기

자연치아를 지키는 첫걸음,
퍼스트인치과에서 시작하세요.

    자연치아를 지키는 첫걸음,
    퍼스트인치과에서 시작하세요.

  • 오시는길

    경기도 파주시 와석순환로515번길 91, 404, 405호

    *스타필드빌리지 운정 맞은편에 위치해 있습니다.
  • 진료시간 안내

    • 월목

      09:30 - 20:30 (야간진료)
    • 화수금

      09:30 - 18:30
    • 토요일

      09:30 - 14:00
    • 점심시간

      13:00 - 14:00 (토요일 제외)
    *일 · 공휴일은 휴진입니다. 토요일은 점심시간 없이 진료합니다.
  • 상담 및 문의

개인정보처리방침

  • 제1조 (개인정보 수집에 대한 동의)

    퍼스트인치과는 이용자들이 회사의 개인정보취급방침 또는 이용약관의 내용에 대하여 “동의”버튼을 클릭하면 개인정보 수집에 대해 동의한 것으로 봅니다.

  • 제2조 (개인정보 수집항목)

    온라인 문의를 통한 상담을 위해 처리하는 개인정보 항목은 아래와 같습니다.
    수집항목: 이름, 전화번호, 이메일

  • 제3조 (개인정보의 이용목적)

    회사는 이용자의 사전 동의 없이는 이용자의 개인 정보를 공개하지 않으며, 원활한 고객상담, 각종 서비스의 제공을 위해 아래와 같이 개인정보를 수집하고 있습니다. 모든 정보는 상기 목적에 필요한 용도 이외로는 사용되지 않으며 수집 정보의 범위나 사용 목적, 용도가 변경될 시에는 반드시 사전 동의를 구할 것입니다.

    성명: 상담에 따른 본인 확인
    전화번호: 상담 및 이벤트 관련 고지사항 전달, 새로운 서비스 및 정보 제공(DM, SMS, 이메일 등 이용) 이용자는 개인정보의 수집/이용에 대한 동의를 거부할 수 있습니다.
    다만, 동의를 거부하는 경우 온라인 문의를 통한 상담은 불가하며 서비스 이용 및 혜택 제공에 제한을 받을 수 있습니다.

  • 제4조 (개인정보의 보유 및 이용기간)

    원칙적으로 개인정보 수집 및 이용목적이 달성된 후에는 해당 정보를 지체 없이 파기합니다. 그리고 상법, 전자상거래 등에서의 소비자보호에 관한 법률 등 관계법령의 규정에 의하여 보존할 필요가 있는 경우 회사는 관계법령에서 정한 일정한 기간 동안 정보를 보관합니다. 이 경우 회사는 보관하는 정보를 그 보관의 목적으로만 이용하며 보존기간은 아래와 같습니다.

    계약 또는 청약철회 등에 관한 기록: 5년(전자상거래등에서의 소비자보호에 관한 법률) 소비자의 불만 또는 분쟁처리에 관한 기록: 3년(전자상거래등에서의 소비자 보호에 관한 법률) 시용정보의 수집/처리 및 이용 등에 관한 기록: 3년(신용정보의 이용 및 보호에 관한 법률) 회사는 귀중한 이용자의 개인정보를 안전하게 처리하며, 유출의 방지를 위하여 다음과 같은 방법을 통하여 개인정보를 파기합니다. 종이에 출력된 개인정보는 분쇄기로 분쇄하거나 소각을 통하여 파기합니다. 전자적 파일 형태로 저장된 개인정보는 기록을 재생할 수 없는 기술적 방법을 사용하여 삭제합니다.